Quanto vale se olhar no espelho e se sentir confiante? Quanto vale não sentir mais vergonha de ser quem você é?
Na HIVE, nós acreditamos que cada sorriso é único. É por isso que combinamos tecnologia de ponta, expertise e um atendimento cuidadoso para transformar sua saúde bucal e elevar sua autoestima.
Tratamentos precisos, confortáveis
e modernos.
Atendimento focado na
excelência clínica.
Atendemos um número limitado de
pacientes para garantir proximidade e atenção a cada detalhe.
Profissionais
qualificados que trabalham juntos há anos, proporcionando
previsibilidade e segurança nos resultados.
Atendimento sofisticado,
sem perda de tempo ou qualidade.
Nossa clínica é ideal para você que:
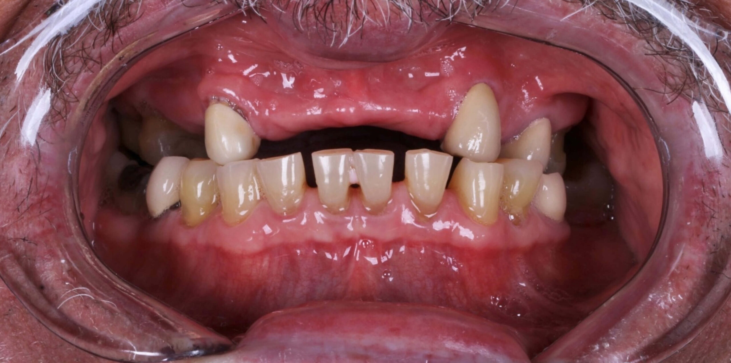
Está lidando com dentes desgastados, quebrados ou perdidos e quer voltar a comer e sorrir com segurança.
Manchas, desalinhamentos ou espaços entre os dentes que comprometem sua estética e confiança.
Quer transformar o sorriso sem perder a naturalidade, através de lentes e tratamentos personalizados.
Tem vergonha de mostrar os dentes em fotos ou no dia a dia e deseja resgatar sua autoestima.
valoriza conforto, tecnologia de ponta e profissionais especializados que colocam sua saúde bucal em primeiro lugar
Na HIVE, cada sorriso conta uma história. Chegou a hora de contar a sua!
Oferecemos tratamentos envolvendo todas as especialidades odontológicas transformando seu sorriso de forma
multidisciplinar, em fluxo digital e com a excelência de uma equipe verdadeiramente integrada:
Ideal para quem perdeu um ou mais dentes recuperar a funcionalidade e estetica do sorriso com segurança e conforto
Solução fixa sobre implantes para quem perdeu todos os dentes. Estabilidade, naturalidade e qualidade de vida no seu dia a dia.
Soluções estéticas e funcionais que transformam o sorriso com naturalidade e personalização, corrigindo forma, cor e proporção dos dentes.
Tecnologia que alinha seus dentes sem mudar sua rotina de forma discreta e confortável, sem fios ou braquetes, com agilidade e praticidade
Veja como ajudamos nossos pacientes a transformar não só seus sorrisos, mas suas vidas.






Uma equipe multidisciplinar, que une expertise e inovação para proporcionar o que há de mais avançado na Odontologia, com um atendimento integrado e personalizado.
Publicado em Sávio PortugalTrustindex verifica se a fonte original da avaliação é Google. O lugar certo pra deixar os dentes alinhados 🫶🏾Publicado em Lorena SilvaTrustindex verifica se a fonte original da avaliação é Google. Sem dúvidas a melhor clínica odontológica de Feira! Você sente o carinho e o cuidado desde a recepção até o atendimento com os dentistas. Equipe maravilhosa, e clínica linda e muito bem equipada!Publicado em Daniela FariasTrustindex verifica se a fonte original da avaliação é Google. Tudo perfeito ! Excelentes profissionais!Publicado em Cassia Avanir De Oliveira SoaresTrustindex verifica se a fonte original da avaliação é Google. Clínica maravilhosa! Excelentes profissionais!Publicado em Graziela GazarTrustindex verifica se a fonte original da avaliação é Google. Equipe maravilhosa! Competente e cuidadosa em todos os aspectos!Publicado em Maria GuirraTrustindex verifica se a fonte original da avaliação é Google. Excelente clínica... Podem confiar... vão conhecer!!!!!Publicado em Barbara BatistaTrustindex verifica se a fonte original da avaliação é Google. Clínica top... atendimento perfeito....
Na Hive Odontologia, somos mais que uma equipe, somos uma verdadeira COLMEIA de expertise e dedicação.
Encontre-nos
Saiba mais
CNPJ.: 55.437.463/0001-07
© 2025 HIVE ODONTOLOGIA. Todos direitos reservados